Asistente de Radiología EVC – Dark Mode
🧠

EVC Radiología

Imagen & Triage

Algoritmo de Triage Radiológico

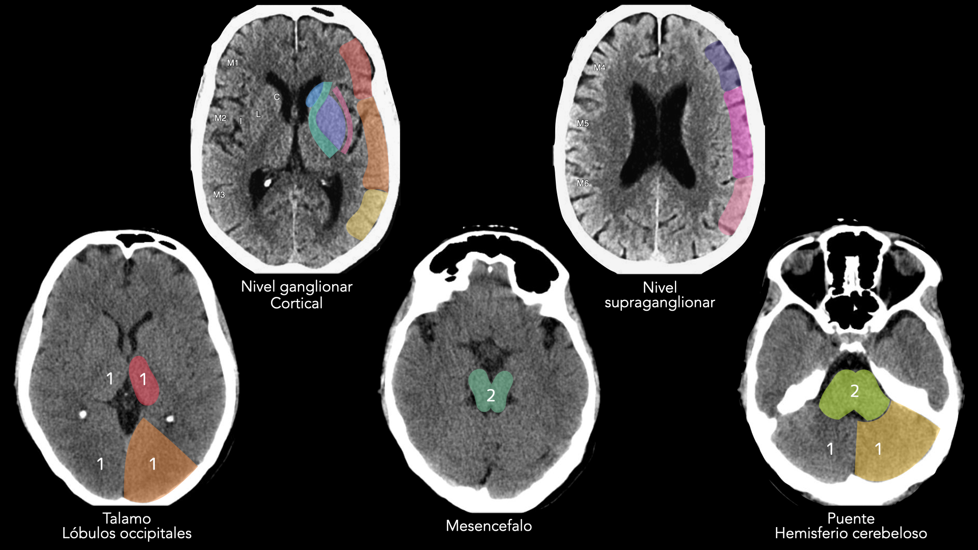
El radiólogo actúa como el “gatekeeper”. El objetivo inicial no es solo el diagnóstico, sino la selección de la terapia de reperfusión adecuada basándose en el tiempo de evolución y la exclusión de hemorragia.

💡 Tip: Comparar siempre con el lado contralateral.

Objetivos del ACV Isquémico Agudo

  • 🛑 Descartar hemorragias y simuladores (Stroke mimics).
  • 🎯 Definir extensión del infarto establecido (Núcleo).
  • 📍 Identificar sitio de oclusión (Terapia dirigida).
  • ⚖️ Relación Núcleo / Penumbra (Viabilidad).
  • 📏 Tipo, longitud del coágulo y circulación colateral.
  • 📋 Estrategias individuales de tratamiento.
Ventana Estándar

Tiempo < 4.5 Horas

Prioridad absoluta: Velocidad para Trombolisis.

🐢
Ventana Extendida

4.5 – 24 Horas

Prioridad: Identificar Penumbra (Tejido Salvable).

🛌
Ictus del Despertar

Wake-up Stroke

Prioridad: Datación por RM (Mismatch).

ℹ️ Seleccione un escenario clínico arriba

Protocolo de Imagen
  • Esperando selección…
Objetivo Crítico

Seleccione una ventana de tiempo para ver los objetivos radiológicos específicos.

Cronometría de Hallazgos TC

Modo: TC Simple
Hiper Agudo Tardío Sub Crónico
🕒 0 – 6 Horas

Fase Hiperaguda

Sensibilidad TC: Baja (~60%)

Hallazgos Radiológicos

🧠
💡
Tip Diagnóstico

Busque sutil borramiento del ribete insular.

Herramienta educativa.

Uso exclusivo para docencia y referencia rápida. No sustituye el juicio clínico profesional.

Dejar un comentario

Tu dirección de correo electrónico no será publicada. Los campos obligatorios están marcados con *