TI-RADS
Guía Definitiva del nódulo tiroideo
The Big 5: Puntos Clave
- Ubicuidad del Hallazgo: Los nódulos tiroideos están presentes en hasta el 68% de la población por US. La misión no es detectar, sino filtrar el 90% de lesiones benignas para evitar intervenciones iatrogénicas.
- La Regla de la Especificidad: El sistema ACR TI-RADS prioriza la reducción de biopsias innecesarias sobre la sensibilidad extrema, manteniendo un VPN del 98.8% para la categoría TR2.
- Fisiopatología del Signo: El hallazgo “Más alto que ancho” no es solo una medida; representa el crecimiento invasivo del tumor a través de los planos tisulares normales de la glándula.
- Jerarquía Diagnóstica: En presencia de una linfadenopatía sospechosa o un resultado de biopsia previo, las escalas de imagen (TI-RADS) quedan en segundo plano frente a la clínica y la citopatología.
- Mínimo Clínico: Los nódulos menores a 5 mm no deben ser biopsiados ni seguidos, incluso si presentan características de alta sospecha, debido a su bajísimo potencial de transformación maligna significativa.
00. Introducción y Fundamentos
Los nódulos tiroideos representan una de las entidades clínicas más prevalentes en la práctica médica contemporánea. Detectables mediante US en hasta el 65-68% de la población general, su incidencia en estudios de autopsia alcanza el 50% de los adultos. Existe una marcada disonancia entre la detección por imagen y la exploración física, ya que solo el 5% de estos nódulos son clínicamente palpables.
El ACR TI-RADS (Thyroid Imaging, Reporting and Data System) no es simplemente una escala descriptiva, sino una calculadora de puntos diseñada con tres pilares fundamentales:
- Reducción de Biopsias: Minimizar los procedimientos invasivos en nódulos que, aunque visibles, son biológicamente benignos.
- Estandarización: Eliminar la subjetividad del “nódulo de aspecto sospechoso” y sustituirla por un léxico común y reproducible.
- Gestión de Variabilidad: Asegurar que un mismo nódulo reciba el mismo manejo independientemente del centro medico.
01. Situaciones de Exclusión del Sistema TI-RADS
Es importante comprender que el TI-RADS no es una herramienta de aplicación universal. Su uso en contextos inapropiados puede derivar en una subestimación peligrosa del riesgo. Las siguientes situaciones requieren un manejo especializado fuera de la puntuación estándar:
Población Pediátrica (< 18 años)
+En pacientes menores de 18 años, la probabilidad de que un nódulo sólido sea maligno es significativamente más elevada, alcanzando el 25% (frente al 5-10% en adultos). Esta alta carga de enfermedad obliga a un manejo clínico dirigido y agresivo, con seguimientos más estrechos, invalidando la aplicación de los umbrales de tamaño del TI-RADS estándar para adultos.
Factores de Riesgo Genéticos y Familiares
+Pacientes con antecedentes conocidos de MEN-2, Carcinoma Papilar de Tiroides familiar, Carcinoma Medular, Anaplásico o síndromes genéticos predispuestos. El TI-RADS está validado para estratificar nódulos de novo en población general, pero en estos casos el riesgo basal de metástasis, agresividad y recurrencia es masivo, requiriendo protocolos de cribado específicos.
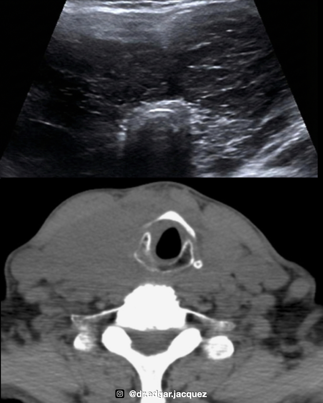
Linfadenopatía Cervical
+La presencia de cualquier ganglio linfático (GL) sospechoso en los compartimentos central o lateral obliga a realizar una biopsia del ganglio de forma prioritaria, independientemente del puntaje TI-RADS del nódulo tiroideo. El ganglio actúa como un indicador biológico de enfermedad avanzada que precede a la estratificación morfológica de la lesión primaria.
Radiación de Cuello Previa
+El antecedente de radioterapia cervical (por linfomas, tumores de cabeza y cuello o exposición accidental) aumenta el riesgo de cáncer de tiroides de forma exponencial. Bajo esta premisa clínica, cualquier nódulo nuevo se considera altamente sospechoso “per se” y debe ser evaluado con un umbral de intervención quirúrgica o diagnóstica extremadamente bajo.
Nódulos con Biopsias Previas
+Una vez que un nódulo ha sido sometido a una PAAF, el resultado Bethesda prima sobre el puntaje TI-RADS para el seguimiento y manejo. La citopatología ofrece una resolución biológica que supera la interpretación morfológica del ultrasonido, estableciendo la pauta para la cirugía o la vigilancia activa.
Tiroiditis Crónica (Hashimoto)
+La inflamación linfocítica crónica altera la ecogenicidad basal de la glándula (parénquima heterogéneo y pseudonodular). Esta distorsión arquitectónica genera un riesgo elevado de falsos positivos en la puntuación TI-RADS, ya que los focos inflamatorios pueden simular nódulos hipoecoicos sospechosos.
Contexto Postquirúrgico o Tiroides Atrófica
+En glándulas post-quirúrgicas o atróficas, la anatomía se encuentra distorsionada. El sistema TI-RADS solo debe aplicarse si se identifica tejido residual inequívoco que contenga un nódulo bien definido. En estos escenarios, el enfoque debe orientarse hacia la diferenciación de tejido “Viable” versus “No viable” y recurrencia locorregional.
02. Epidemiología y Riesgo de Malignidad
Los ITNs (Nódulos Tiroideos Incidentales) son un hallazgo común en la medicina moderna. En estudios de imagen transversal (TC/RM), la prevalencia en adultos oscila entre el 16% y el 25%. En el caso de la medicina nuclear con 18F-FDG PET-CT, la captación se presenta en el 1-2% de los estudios, pero con una relevancia clínica desproporcionada.
| Modalidad de Hallazgo | Riesgo de Malignidad | Fisiopatología / Contexto |
|---|---|---|
| TC / RM / US General | 1.6 – 2.8% | Generalmente carcinomas papilares indolentes de crecimiento lento. |
| PET-CT (Focal) | 30.8 – 55.0% | Alta actividad metabólica; riesgo elevado de agresividad celular. |
El Fenómeno del Sobrediagnóstico: La detección de cánceres que habrían tenido un curso indolente sin comprometer la vida del paciente ha crecido exponencialmente. El costo del tratamiento quirúrgico inmediato para microcarcinomas papilares es 4.1 veces mayor que la estrategia de vigilancia activa, sin demostrar un cambio significativo en la mortalidad global.
03. Semiología Radiológica Multimodal
Ultrasonoido
Signos de Benignidad (Estratificación Negativa):
- Morfología Espongiforme: Presencia de espacios quísticos intercalados en >50% del nódulo. Representa una agregación de microquistes con coloide.
- Quístico Puro: Contenido totalmente anecoico; riesgo de malignidad virtualmente nulo.
- Artefacto en Cola de Cometa: Fenómeno de reverberación que indica la presencia de coloide espesado y deshidratado (marcador de benignidad).
Signos de Sospecha (Malignidad):
- Más alto que ancho: Indica que el tumor no respeta la arquitectura laminar de la glándula y crece perpendicularmente a los planos tisulares.
- Hipoecogenicidad Marcada: El nódulo es más hipoecoico que los músculos pretiroideos (músculos infrahioideos). Refleja una alta densidad celular con escaso estroma.
- Márgenes Irregulares: Pueden ser espiculados o microlobulados, sugiriendo infiltración local.
Tomografía Computarizada
En el cuello, la TC es “fácil de ver, difícil de caracterizar”. No permite distinguir fiablemente benignidad de malignidad en un nódulo aislado.
Indicaciones Específicas: Evaluación de bocio retroesternal, invasión locorregional profunda (vía aérea o digestiva) y estadificación de adenopatías mediastínicas.
Pitfall del Yodo: El uso de contraste yodado en una TC puede retrasar la terapia ablativa con Iodo-131 entre 4 y 8 semanas por saturación de receptores.
Resonancia Magnética
La RM es una herramienta poderosa para la diferenciación tisular compleja. En secuencia T2, los carcinomas papilares suelen mostrar una intensidad de señal baja (hipointensos) comparados con nódulos benignos, debido a su fibrosis estromal densa.
Difusión (DWI/ADC): Los valores de ADC son significativamente más bajos en tumores malignos. Un punto de corte de ADC < 1.12 × 10⁻³ mm²/s ofrece una sensibilidad y especificidad cercanas al 93%.
Medicina Nuclear: PET-CT (18F-FDG)
El incidentaloma tiroideo detectado mediante PET-CT es un hallazgo de alta relevancia clínica. La captación focal de glucosa radiomarcada suele correlacionarse con una mayor agresividad metabólica celular.
Criterios de Malignidad Metabólica:
- Captación Focal: Un incidentaloma con captación circunscrita tiene un riesgo de malignidad significativo, reportado entre el 30.8% y 34.6% por Vassallo et al., y hasta un 50% en series de Tappouni et al.
- Ratio SUVmax: Un ratio de SUVmax nódulo/fondo > 2 es un predictor fuerte de malignidad, indicando una tasa de glucólisis desproporcionada respecto al parénquima normal.
Captación Difusa (Signo de Benignidad):
A diferencia de la captación focal, la captación difusa y bilateral de FDG suele estar asociada a actividad autoinmune benigna, típicamente secundaria a una tiroiditis crónica (Hashimoto) en fase activa.
Recomendación: Todo PET-CT positivo focal requiere correlación ultrasonográfica inmediata y probable PAAF según características morfológicas.
04. Elastografía
La elastografía añade una dimensión funcional al diagnóstico: la rigidez. Los tumores malignos suelen tener una matriz extracelular más densa y rígida, lo que se traduce en una menor elasticidad tisular.
Strain Elastography (SE)
Técnica cualitativa que depende de la compresión externa (manual o por pulsación carotídea). Se evalúa mediante escalas de color (mapas de deformidad). Los puntajes 4 Asteria y 5 de Rago indican alta rigidez y sospecha de malignidad.
Shear Wave Elastography (SWE)
Técnica cuantitativa que mide la velocidad de propagación de las ondas de corte en m/s o la elasticidad en kPa. Velocidades > 2.6 m/s o elasticidades > 65 kPa se asocian fuertemente con procesos infiltrativos malignos.
Nota: Es particularmente útil para elevar o disminuir la sospecha en nódulos con citología indeterminada (Bethesda III/IV) y para predecir malignidad en población pediátrica sin recurrir a PAAF inmediata.
05. Métricas y Clasificación ACR TI-RADS
Antes de continuar debes saber que existen varios sistemas de clasificación: el primero due propuesto por Dra. Eleonora Horvath y su equipo en Chile TI-RADS (🇨🇱) posteriormente se desarrollaron; ACR-TIRADS (🇺🇸), R-TIRADS (🇨🇳), K-TIRADS (🇰🇷), EU-TIRADS (🇪🇺), ATA (🇺🇸), Clasificación de la U (🇬🇧), unos se basan en puntos y otros en patrones, todos son efectivos pero R-TIRADS es el mejor al reducir el numero de biopsias innecesarias.
R-TIRADS (Revised TIRADS) es el que tiene mejor desempeño la diferencia con el TIRADS convencional es que divide la categoria 4 en 4a [riesgo 28.8%] y 4b [riesgo 64.7%] (ACR-TIRADS unicamente 4, K-TIRADS lo divide en 4a,4b,4c). Tiene un umbral mas bajo para biopsia de nódulos TR3 de 2.5cm a 2.0cm y es mas agresivo con los nódulos TR5 recomendando biopsia desde 0.5cm.
El sistema TIRADS se fundamenta en un léxico de consenso (ACR/ATA) dividido en 5 categorías aditivas. Para una evaluación precisa, se deben sumar los puntos de cada categoría morfológica (Son iguales en R-TIRADS y ACR-TIRADS):
Calculo de Puntos TI-RADS
| Categoría | Descriptores y Puntos |
|---|---|
| Composición | Quístico (0), Espongiforme (0), Mixto sólido-quístico (1), Sólido (2) |
| Ecogenicidad | Anecoico (0), Iso/Hiperecoico (1), Hipoecoico (2), Muy hipoecoico (3) |
| Forma | Más ancho que alto (0), Más alto que ancho (3) |
| Margen | Liso (0), Mal definido (0), Lobulado/Irregular (2), Extensión extratiroidea (3) |
| Focos Ecogénicos | Ninguno (0), Macrocalcificaciones (1), Periféricas/Rim (2), Microcalcificaciones/Punteados (3) |
*Nota: Los puntos de focos ecogénicos son aditivos. *Cuando una característica no está clara, se le asignan 0 puntos.
Características Morfológicas
Criterios de Manejo (ACR 2017)
| Categoría (TR) | Puntos | Riesgo | PAAF (Umbral) | Seguimiento (Umbral) |
|---|---|---|---|---|
| TR1 Benigno | 0 | < 2% | No | No |
| TR2 No Sospechoso | 2 | < 2% | No | No |
| TR3 Leve Sospecha | 3 | 2.1-5% | ≥ 2.5 cm | ≥ 1.5 cm (1, 3, 5 años) |
| TR4 Mod. Sospecha | 4 – 6 | 5.1-20% | ≥ 1.5 cm | ≥ 1.0 cm (1, 2, 3, 5 años) |
| TR5 Alta Sospecha | ≥ 7 | > 20% | ≥ 1.0 cm | ≥ 0.5 cm (Anual x 5a) |
Criterios de Manejo (R-TIRADS)
| Categoría (TR) | Puntos | Riesgo (Estudio) | PAAF (Umbral) | Seguimiento (Umbral) |
|---|---|---|---|---|
| TR1 Benigno | 0 | 0% | No | No |
| TR2 No Sospechoso | 2 | ~3.8% | No | No |
| TR3 Leve Sospecha | 3 | ~8.3% | ≥ 2.0 cm | ≥ 1.5 cm (1, 3, 5 años) |
| TR4a Mod. Sospecha | 4 – 6 | 28.8% | ≥ 1.5 cm | ≥ 1.0 cm (1, 2, 3, 5 años) |
| TR4b Alta Sospecha | 7 – 8 | 64.7% | ≥ 1.0 cm | ≥ 0.5 cm (1, 2, 3, 5 años) |
| TR5 Muy Alta Sospecha | ≥ 9 | 84.2% | ≥ 0.5 cm | < 0.5 cm (anual) |
0.6 Criterios de Crecimiento Significativo
El consenso actual define el crecimiento clínicamente significativo cuando se cumple al menos uno de los siguientes parámetros comparativos entre estudios ecográficos secuenciales:
Parámetros Definitorios
- ◈ Aumento de Diámetros: Incremento del ≥ 20% en al menos dos dimensiones del nódulo, con un aumento absoluto mínimo de 2 mm.
- ◈ Aumento de Volumen: Incremento del volumen nodular mayor al 50%.
- ◦ Nota técnica: El crecimiento de más de 2 mm por año predice malignidad con un riesgo relativo de 2.5 en comparación con tasas de crecimiento más lentas.
Indicaciones de PAAF ante Crecimiento
El manejo depende del estatus citológico previo del nódulo y la aparición de nuevas características ecográficas:
1. Nódulos No Biopsiados Previamente (Vigilancia Activa)
+- Crecimiento Sustancial: Se indica PAAF si hay un crecimiento sustancial (>50% de volumen) desde el examen ecográfico previo.
- Aparición de Síntomas: Si el crecimiento del nódulo genera síntomas compresivos, se debe considerar la cirugía.
2. Nódulos con Citología Previa Benigna (Bethesda II)
+El crecimiento per se no siempre obliga a re-biopsiar, pero modifica la vigilancia:
- Crecimiento + Nuevos Signos de Sospecha: Si el nódulo crece O desarrolla nuevas características ecográficas sospechosas (ej. microcalcificaciones, márgenes irregulares), se recomienda repetir la PAAF.
- Solo Crecimiento: Si el nódulo crece pero mantiene características benignas en ecografía, se puede optar por observación estrecha o repetir la PAAF según criterio clínico.
- Consideración de Falsos Negativos: En nódulos citológicamente benignos pero con características ecográficas de alta sospecha, se recomienda repetir la ecografía y PAAF a los 12 meses, dado que el riesgo de falsos negativos es mayor (20%) en este subgrupo específico en comparación con nódulos de aspecto benigno (0.6%).
Matices y Limitaciones (Pitfalls)
- Valor Predictivo del Crecimiento: Aunque el crecimiento rápido es un factor de riesgo, estudios prospectivos a 5 años indican que la malignidad se predice mejor por el cambio en las características sonográficas (aparición de patrones sospechosos) que por el crecimiento en sí mismo.
- Comportamiento de Nódulos Benignos: La mayoría de los nódulos benignos (aprox. 85%) no crecen significativamente. Aquellos que crecen suelen hacerlo de forma lenta y constante (media de 5 mm en 5 años).
- Postura EU-TIRADS: Esta guía establece que el seguimiento rutinario por ecografía exclusivamente para valorar crecimiento con el fin de predecir cáncer no está justificado, enfatizando la importancia de las características morfológicas sobre la cinética de crecimiento.
07. Mapeo de Niveles Ganglionares Cervicales
La evaluación del cuello es inseparable del examen tiroideo.
Es crítica para la estadificación preoperatoria y el seguimiento posquirúrgico del cáncer de tiroides diferenciado (DTC). La metástasis ganglionar ocurre en el 30-80% de los pacientes. Ninguna característica aislada es suficientemente sensible o específica.
| Nivel | Nombre / Localización | Límites (Superior / Inferior / Otros) | Subniveles Clave |
|---|---|---|---|
| I | Submental y Submandibular | Sup: Mandíbula | Inf: Hueso hioides | Ant: Platisma. | Ia: Entre vientres ant. del digástrico. Ib: Postero-lateral al digástrico. |
| II | Yugular Interna Superior | Sup: Base cráneo | Inf: Hueso hioides | Post-lat: M. esternocleidomastoideo (ECM). | IIa: Anterior a VYI. IIb: Posterior a VYI (separado por grasa). |
| III | Yugular Interna Media | Sup: Hueso hioides | Inf: Cartílago cricoides | Post-lat: Borde post. ECM. | Cadena cervical profunda media. |
| IV | Yugular Interna Inferior | Sup: Cartílago cricoides | Inf: Clavícula | Medial: A. carótida común. | Incluye ganglios supraclaviculares mediales y de Virchow. |
| V | Triángulo Posterior | Sup: Vértice ECM-Trapecio | Inf: Clavícula | Ant: Borde post. ECM | Post: Borde ant. Trapecio. | Va: Superior al cricoides. Vb: Inferior al cricoides. |
| VI | Compartimento Anterior | Sup: Hueso hioides | Inf: Manubrio esternal | Lat: Arterias carótidas comunes. | Ganglios pretraqueales, paratraqueales y Délficos. |
| VII | Mediastínico Superior | Bajo la escotadura esternal. Extensión de la cadena paratraqueal. | Ganglios del mediastino superior. |
Grupos Omitidos: La clasificación I-VII no incluye ganglios retrofaríngeos, parotídeos, occipitales ni faciales; estos deben nombrarse por su localización anatómica específica.
Hallazgos Ultrasonográficos de Malignidad
- ◈ Microcalcificaciones: Alta especificidad (100%), sugerente de metástasis de carcinoma papilar.
- ◈ Degeneración Quística: Alta especificidad (100%), típica del carcinoma papilar. DDX: Quiste de la hendidura branquial o quiste tiroideo.
- ◈ Ecogenicidad (Tejido “Thyroid-like”): Aspecto hiperecoico respecto a la musculatura adyacente, similar al parénquima tiroideo normal.
- ◈ Vascularidad Periférica o Caótica: Flujo sanguíneo desorganizado. Sensibilidad: 86%, Especificidad: 82%. Superior a la vascularidad hiliar central (benigna).
- ◈ Pérdida del Hilio Graso: Ausencia o borramiento del hilio ecogénico central. Nota: Un hilio preservado tiene un VPN del 100% (Sens: 100%, Espec: 29%).
- ◈ Morfología Redondeada: Índice eje largo/eje corto < 2.0. Los ganglios benignos son ovoides; los malignos tienden a la circularidad.
Patrón de Diseminación Clínica
El patrón de diseminación linfática suele ser predecible (del centro a la periferia):
| Patrón | Niveles | Implicación |
|---|---|---|
| Primer escalón | Nivel VI | Centinela. Su vaciamiento previene recurrencias. |
| Segundo escalón | II, III, IV | Indica diseminación lateral; requiere cirugía extensa. |
| Atípicos | Nivel V | Menos común; evaluado en enfermedad masiva. |
El Ganglio de Delphian (Nivel VI)
Mención especial merece el ganglio prelaríngeo. Si este ganglio es palpable o se ve afectado en estudios de imagen, existe una alta correlación con metástasis en otros niveles y un mayor riesgo de invasión a la cápsula tiroidea macroscópica.
Nota Quirúrgica: Para el cirujano, el límite entre el Nivel IIa y IIb suele estar definido por el nervio accesorio espinal, mientras que para el radiólogo es la vena yugular interna (VYI).
09. Diagnóstico Diferencial
La correcta identificación de los “mimics” tiroideos es esencial para evitar errores de categorización TI-RADS. A continuación, se detallan las entidades más comunes que pueden simular malignidad o viceversa:
Nódulo Folicular (Adenoma/Coloide)
Suele presentarse como una lesión isoecogénica con un halo uniforme y completo. Puede tener componentes quísticos o apariencia espongiforme.
Signo Clave: El artefacto en cola de cometa indica coloide denso, siendo un marcador de benignidad. No debe confundirse con microcalcificaciones punteadas.
Ganglios Linfáticos Metastásicos
La adenopatía metastásica del carcinoma papilar suele ser quística o presentar microcalcificaciones internas. Pierden su morfología ovalada y el hilio graso ecogénico normal.
Relevancia: En ciertos escenarios clínicos, el estado de los ganglios linfáticos es el factor determinante del manejo quirúrgico.
Tejido Post-tiroidectomía
Es vital diferenciar entre tejido cicatrizal o de granulación (típicamente estable y avascular) y la recurrencia tumoral.
Semiología: La recurrencia se manifiesta como nódulos con crecimiento progresivo, márgenes lobulados y vascularidad interna detectable por Doppler.
Linfoma Tiroideo
Se manifiesta como una masa solitaria marcadamente hipoecoica (casi anecoica/pseudocística) que presenta refuerzo acústico posterior.
Contexto Clínico: Aparece frecuentemente sobre un fondo de Tiroiditis de Hashimoto. Su crecimiento es rápido y genera síntomas compresivos agudos.
Tiroiditis de Hashimoto (Pseudonódulos)
El parénquima se torna heterogéneo y presenta micronodularidad con una textura en “empedrado” (cobblestone) y septos fibrosos.
Diferenciación: Se asocia a vascularidad difusa aumentada. El fondo tiroideo suele ser anormalmente hipoecoico. Confirmación vía anticuerpos anti-TPO/Tg.
10. Pitfalls: Lo que el Radiólogo no debe ignorar
- Mito del Nódulo Dominante: El tamaño no es el mejor predictor de malignidad. Un nódulo pequeño puede ser TR5 y uno gigante ser un TR2 benigno.
- Error en la Definición de Espongiforme: Debe ocupar >50% del volumen. Si es menor, se puntúa como sólido o mixto, cambiando drásticamente el manejo.
- Subestimación de la ETE: La invasión de los músculos pretiroideos suele omitirse en los informes, lo que altera la planificación de la cirugía (lobectomía vs total).
- Carcinoma Folicular: Es el “camaleón”. Suele ser isoecoico y de bordes lisos. La PAAF no puede diagnosticarlo (Bethesda IV); requiere estudio de la cápsula.
- Nódulo de Zuckerkandl: Variante anatómica del lóbulo posterior que puede confundirse con una adenopatía retrotraqueal.
11. Correlación con Patología (Bethesda)
El éxito de la PAAF radica en su alto Valor Predictivo Negativo (VPN). Un resultado benigno otorga la seguridad clínica necesaria para suspender el intervencionismo quirúrgico.
| Categoría Bethesda | Riesgo Malignidad | Manejo Sugerido |
|---|---|---|
| I. No Diagnóstica | 5 – 10% | Repetir PAAF con guía US. |
| II. Benigna | 0 – 3% | Seguimiento clínico/US. Seguridad para no operar. |
| III. AUS / FLUS | 22 – 30% | Pruebas moleculares o repetir biopsia. |
| IV. Neoplasia Folicular | 25 – 40% | Lobectomía diagnóstica (estudio capsular). |
| V. Sospecha Malignidad | 50 – 75% | Cirugía (Lobectomía o Total). |
| VI. Maligna | 97 – 99% | Tiroidectomía Total. |
12. Protocolo de Informe Estructurado
El informe debe ser sintético pero exhaustivo en los datos de mayor impacto clínico. El algoritmo de reporte obligatorio incluye:
